
近年運動器の超音波診断学がかなり進歩してきています。
靭帯断裂、腱板損傷、肉離れ、腱鞘炎などの診断や、関節内注射、神経ブロック等々に活用できます。
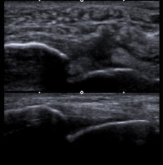
例えば、足を挫いた患者さんが受診しました。足首の外側が腫れています。
「レントゲンでは骨折はありません。捻挫でしょう」、と説明をしていました。
しかし超音波を使うと、「前距腓靭帯の断裂です。前後方向の不安定を伴っていますのでギプス加療を行います。」
と言った具合に、患者さんと一緒に超音波を見ながら、健側と比較することによって靭帯断裂を認識でき、
動かしながら評価することによって、不安定性の確認をすることができるのです。
また治療経過も超音波で評価することによって、治療に対する患者さんのコンプライアンスを向上させることもできます。
上段画像:前距腓靭帯損傷
下段画像:正常画像
MRI:中間広筋断裂画像
上記、中間広筋をエコー下で観察